A (Partial) History of Me

This piece has been entered in the Patients Have Power Writing Contest run by Clara Health designed to raise awareness about clinical trials. I am passionate about this cause and hope it will help raise much needed awareness about the power of breakthrough research.

The cause of my (primary) rare disease is unknown. There are a few candidate genes, and research is moving forward, but at this time they essentially have no idea why I was born with Moebius syndrome, a very rare disorder causing facial paresis, skeletal abnormalities and neuromuscular impairment.

My go-to description is “It’s probably genetic, but not inherited” – they have no idea what causes it.
That’s not very specific, is it?
That lack of specificity, of knowing, is one of the hardest parts of living with a medical condition for which there is no known cause. It’s funny, actually, knowing the cause wouldn’t do anything groundbreaking due to the nature of my condition… but I want to know. I like knowing stuff.
Knowing what has “caused” my condition would, in a way, help me to better know myself.
So the question is: how do researchers research these rare, complicated disorders where there’s no clear genetic link?
I’ve been giving blood samples for over 20 years, clearly that wasn’t enough.
Enter the National Institutes of Health and Natural History Studies.
Moebius syndrome is lucky, in that the director of the NIH, Dr. Francis Collins, took a specific interest in us and championed our cause. He was part of a group that proposed the first natural history study of the condition.
It sounds ridiculous at first, to voluntarily put yourself through a week of testing, a few MRIs, yet more testing, getting zapped by electrodes, and more NIH waiting rooms than you can imagine. But it was actually pretty darn amazing.
In the winter of 2016, I spent a week in February roaming the halls of the National Institutes of Health Clinical Center, one of the most amazing buildings in the world. I met with so many specialists, all who were knowledgeable about Moebius syndrome (a rarity!) and were invested in the discovery process. I did have a lot of tests, some of which were annoying and painful or just loud (I mean, who voluntarily has 2 MRIs?)…BUT I was made to feel as if this was a really cool endeavor I was taking part in.
I was made to feel as if I was part of the discovery process. It reaffirmed for me that Patients Have Power.
When you have a very rare disorder, getting over 20 doctors in a week who all know about it and don’t act as if they are totally outside of their element is worth it. In addition to feeling like I was positively contributing to research, I got valuable information about myself.
Now, what happened next?
In the movies, a Natural History Study would magically lead to finding THE CAUSE and everyone would rejoice. Unfortunately, real life is not that easy. The researchers saw many people with Moebius syndrome, some people with similar conditions (and a few who they were able to diagnose with conditions while at NIH), and made no groundbreaking discoveries. Yet.
The work continues.
What is powerful about clinical trials and natural history studies is that the data itself is as valuable as the personal experience and treatment that comes from it. The data, samples and cell lines created at the National Institutes of Health are now in labs throughout the country, where researchers are still unpacking the causes of Moebius syndrome.
They have faith that discoveries will be made, thanks in large part to Natural History Studies.
I went to the NIH and all I got was this amazing photo of my brain!

Thinking Zebras

Hear Hoofbeats? Think Zebras

I don’t know where that phrase originated in the rare disease community, but I love it. If we are going to take this even further, I am probably a zebra with extremely funky and unique stripes as I’ve managed to get myself a collection of unrelated rare diseases.

Thinking zebras is important for the Moebius syndrome community. Individuals with Moebius syndrome and their families have to be innovative, think outside of the box to problem solve difficulties and develop the mentality that being a metaphorical zebra is okay.

Thinking zebras is important for me, and for others living with rare diseases. Life with rare diseases oftentimes necessitates ingenuity, creativity and adaptability. To be able to think outside the box when one hears the metaphorical hoofbeats is crucial for quality of life.

Thinking zebras is important for the community when encountering rare disorders. There are more than seven thousand rare disorders, with advanced genomics discovering even more disorders every day. I personally don’t fault anyone for not knowing about all of them, but hope for kindness, empathy and support for those of us with rare diseases.

Thinking zebras is important for the healthcare community, especially for rare diseases where there is no known genetic cause. We still rely on clinical diagnoses, which may not come, may be incorrect, or may simply just take entirely too long to arrive at.

Thinking zebras is important for allies of the rare disease community, who wonder how they can help us raise awareness and mobilize.

Thinking zebras is important for researchers in rare diseases. The theme of Rare Disease Day this year is With Research Possibilities Are Limitless, but research into rare diseases is often frustrating and sometimes fruitless (see: Moebius syndrome research, where they have not found anything genetic yet!)

So next time you hear hoofbeats, look carefully as the zebras gallop by.

 

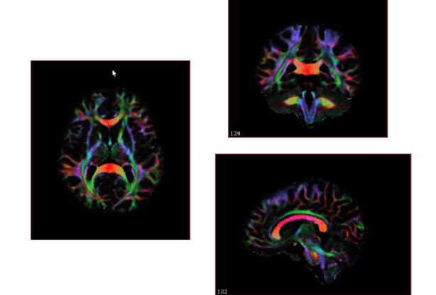
My pretty cool looking “normal brain”


I got another batch of information back from my week at the National Institutes of Health, and I really think my favorite quote ever was “patient has a normal brain”… good to know!

Other fun stuff: they couldn’t find a seventh cranial nerve (which doesn’t necessarily mean it’s not there – they did an autopsy on someone with Moebius and found that the nerve was there but went down into the spinal cord instead of into the brain), and that my seventh nerve is hypoplastic (underdeveloped).

Apparently my scoliosis is two or three degrees more than both the doctor and I thought. From the nerve conduction studies where they zapped me, I apparently have no blink reflex (which I knew!), and reduced amplitude in all facial nerve stimulations (maybe that’s why it didn’t hurt that much?)

No information yet from the blood or skin biopsy yet, but I’m not expecting anything since they don’t yet know what they’re looking for!

And lastly, the awesome nurse coordinator for the study (truly a sanity-saver!) sent me these amazing colored views of my brain from my MRI! I think the coolest part is that this was done without dye or anything… no idea what it means, but it’s pretty!

Wrapping it up (and unwrapping more)

I snapped this photo of the Safra Family Lodge on the last cab ride out of the NIH campus and to the airport on Tuesday. 
Since then it’s pretty much been back to the grind of errands and work and life and worries (and a little bit of fun).

There’s always a certain emotional crash that comes post-Moebius conference for me, and for some reason I was expecting to feel the same way post-NIH – and am quite happy not to, for the most part! Maybe because it was all about me, or less emotional (mostly!) or just different… but I didn’t feel drained like I do post-Conference. 

Now all that’s left to do is to figure out if I can get a specialist referral easily here, wait for my heel lift to come from Amazon, get new glasses with my prescription from the very fancy sounding National Eye Institute… and check the mail for my fancy color coded CT scan of my brain! (Is it weird to seriously think of framing that as a souvenir?! Probably, but maybe a good dorky ePatient level of weird!)

NIH Day 5: Colorfully Wrapping it Up

Today was my last day of the protocol! Amazingly enough, there were still some things I hadn’t done!

Although it was (to this Californian) slightly freezing, the view from the dining room this morning was gorgeous.  

Headed over to Building 10 at the very reasonable hour of 9 to get an ECG, which thankfully turned out normal despite a slight irregularity on my EKG from yesterday. From there I went and got a needed OB/GYN appointment (so happy I could squeeze that in, get the needed test, and stop the awkwardness when registering for Kaiser appts)!

Squeezed in lunch – burrito bowls from the cafeteria counter Mexican area that once again had no tacos. Do they just run out, or do they really not buy enough for any day?

After lunch I had my second MRI, where they did something fancy and added color to it (no IV or anything for me, just computers!). Cassius was unimpressed with MRI attire – guess I smelled weird!

  
 
After the MRI (where I once again forgot about the music option, grrr!) I went upstairs and did a funky computer task trying to recognize faces. 

Went back again to Rehab Medicine for my last appointment of the trip – and one I’m getting paid for! I participated in a study that’s seeing whether 3D images are as good as XRays for measuring scoliosis. Today I stood in front of a few cameras with a bunch of strategically placed washable purple marker dots on me and had a 3D image taken of me that they will compare against my XRay. I hope this does work out as I think it’s a great thing to reduce XRays.

After that we ran to the gift shop and picked up t-shirts (they really need “I spent a week at the NIH Clinical Center and all I got was this lousy t-shirt” but I like what I got. Then we touched base with the recreational therapist who gave me more coloring stuff – she said I could’ve had an appointment with her this week, too bad I didn’t know about that! But these will be fun and a good memento of this experience! 

Last thing before concluding this daily not-quite-live-but-slightly-timely blog series (Rare Disease Day and a NIH study wrap-up next week) is something that just made me laugh: NIH is a place where wheelchairs ride elevators by themselves. Got on and it was there, got off and no one was claiming it… who knows!  

NIH Day 4: Snapped, Tested, Zapped & Sampled

Today started with a wise decision to say screw it and eat the chocolate cereal for breakfast. Coffee and chocolate are important food groups, after all!  

We did our usual walk from Safra Lodge to Building 10, it looked rather pretty with the clearing after the storms last night-but I couldn’t decide whether these benches were knocked over by the wind or not.  

   
First thing in Building 10 this morning was medical photography where the photographer took a bunch of slightly strange medical photos. Then it was off to a borrowed room in the “Day Hospital” for a ridiculously long neuropsych eval and way more IQ testing than I ever hope to do again. We ordered lunch to come up to us but mine took 2 hours (apparently that is not normal!)  

After we finally finished the neuropsych stuff we literally dashed to EKG to get that over with, then went to neurology (I think!) for a nerve conduction test, which sounded worse than it was – kinda felt like being shocked a few times (if one were to get shocked in the face, that is).

  
 Walking through Building 10 I love the architecture and the light!
Last stop of the day was again in a borrowed room at the Day Hospital, where I did the big wrap-up meeting today instead of tomorrow as one of the researchers won’t be in then. Basic findings were indeed that I have a pretty classic case of Moebius syndrome (phew! I was pretty sure but can only imagine people thinking they have one thing but being told they don’t!). Recommendations were to think about orthodontics, to get a shoe lift ASAP because apparently my legs are drastically different lengths, and to get my blood test readings looked at by an Endocronologist. Besides that everything else looked good.

Last thing of the day was a skin biopsy, so that they can get a different kind of cell from me and use it to create cell lines. Apparently you can get a different type of cells from skin that might be more useful for Moebius syndrome. I find that both slightly scary and fascinating! I was plenty numb so didn’t really feel much beyond pressure although it is starting to ache a bit now that the numbness has worn off! Back to the lodge for take-out again.

Just a few more appointments tomorrow then we’re done!  

NIH Day 3: Better Barium & Eye of the Storm

Today began foggy and rainy and really early at 8 am.  

Radiology was first, where I had my first scoliosis X-Ray in many years as part of a different study that I said I’d participate in – it’s actually a great premise: whether non-X-Ray 3D photos can measure scoliosis as effectively as X-Rays.

Then it was time for some barium for breakfast at the swallow study-yummy! For some crazy reason though, this barium was not as icky as the barium I remember. I don’t know whether they’ve radically changed barium, whether NIH just buys high-quality barium, or whether I’m just more mature about it all… but that wasn’t too bad! Plus the swallow study had no icky findings, yay!

From there I had a long break, which gave me time to actually venture out of Building 10. The Campus Shuttle goes past Building I, the original building where Dr. Francis Collins now works.   

 

I went to the

National Library of Medicine and have lunch with a college friend.  

 Went on a tour (me and about twenty Japanese medical tourists, rather amusing), saw really neat art created from data sets from human bodies

 
and saw an actual Nobel Prize in the Rare Book Room!  

After that it was once more off to Building 10 to the National Eye Institute for more testing for the protocol – as well as a bit for me (got a new prescription with a lot more astigmatism correction, yay!) Wasn’t all that exciting but it was useful. 

 
When I got out of clinic a little before 5 I was informed that there was a tornado warning…this is way beyond what I’m used to in California! We ran back to the Lodge and ordered take out, which I felt a bit bad about having someone go out there but quite relieved when it came! 
Tomorrow is another long, interesting day! 

NIH Day 2: I get lost in these halls

(That is a line from Next to Normal, an amazing musical about family and chronic mental illness, if you’re at all interested in theatre relating to these issues you should check it out!)

Today started out with a fasting blood test. Yay (said nobody ever). Stumbled my coffee-less self to phlebotomy where they proceeded to take an absurd amount of blood-it’s a lot when the tech looks at the file and says “that’s a lot of blood!” Having said that, it was the least painful blood draw of my life! (And the tape they gave was pink!)  

After that and a bunch of coffee (some which was provided in phlebotomy, gotta love a department with a coffee bar!), I had the first of 3 appts in Rehab Medicine, who did some stuff from the protocol and some stuff just for me. Apparently my legs are different lengths which explains a lot about some of my walking and foot issues. 
After that I went to Audiolgy for a bunch of tests (which confirmed that my hearing is good!) and sons of the “follow the red dot” tests for eyes. Did that before and after lunch.

Went back to Rehab Medicine for some slightly random visual-spatial tests from the OT and a few balance tests and recommendations for ankle exercises from the PT.

Ended my day with an appointment with the doctors in charge of the protocol and with a neurologist, who went through a bunch of motor and balance tests once again!

Got some interesting information from the blood test that I will need to follow up on and might explain some of my digestive stuff-hopefully! At the Lodge getting ready for another long day tomorrow!

(And in reference to the title: if there is a wrong turn to take in Building 10, I took it!)

NIH Day 1: Hello (from the inside of the MRI)

Day I of research protocol began very early Monday morning at the Admissions office of Building 10 (The NIH Clinical Center) trying to beat the morning rush of people checking in. Got myself an ID bracelet with a barcode, and was bombarded by lots of information about consent and information and such. Was fast enough to be early for my 9 am start time! 

First appointment of the day was with the study’s coordinators, who I had met a few years ago at the Moebius Syndrome Foundation Conference. Basic health history (thank goodness my mom was there, some of the dates I had no idea!) and somewhat of an exam and measurements. It’s rather awkward to have yourself being measured and discussed in length increments!

After that long appointment we got a basic tour of Building 10, which I learned is incredibly easy to get lost in! It’s been added on to many times and has innumerable elevator banks that all don’t lead to the same place. Found a cafeteria for lunch, and explored the Gift Shop – gotta love Chernow’s Hamilton making an appearance! 
After lunch (and after quickly getting a toothbrush to brush my teeth with from the dental people!) was a combination craniofacial and dental exam from a doctor who used to work at UCSF so has some leads to local dentists who might be good for me and more experienced with craniofacial conditions. Lots more measurements and notes (that meant nothing to me!) pictures and a fancy scanner X-ray type thing that went in circles around me.

Wandered more before picking up my NIH long-term visitor ID, which will make getting on campus easier when I leave on the weekend.  

My last appointment of the day… brain MRI #1. Got there and was again reminded that someone really needs to invent disposable hospital wear that isn’t scratchy and disgusting (not to mention gigantic!)  

It wasn’t the worst experience, although I conveniently forgot how loud they are! No music choices either. But I made it through with only a slight headache. 

After that we ate at the cafeteria that’s open for dinner and admired their Rare Disease Day table tents on literally every table! Love getting that awareness out there!

Tomorrow is an exciting day with rehab medicine and PT and OT, hoping they’ll have ideas and suggestions!
 

Mailing my spit

  So this is what making saliva samples to some of the preeminent Moebius syndrome researchers in the country looks like! They are actually going to sequence the entire genomes of both me and my parents, which is pretty cool!

They gave me the option to get information on everything – even what’s totally unrelated to Moebius – and I said yes. Mainly because more information is better in general, and I’m interested with some of the other autoimmune things I have going on… who knows what’s happening with my genes.

Excited to send this off and see what information it yields.